Coffin Bone Infection Symptoms. Palmar digital neurectomy is a very viable alternative once the bone has had time to heal. The horse may be trembling or sweating, as some of these abscesses can be very painful.
Michael Porter, Equine Veterinarian Fractured Coffin Bone from michaelporterdvm.blogspot.com
Pathologic fractures due to infection have a grave prognosis. The infection can involve the coffin bone, sole structure, laminae and the hoof wall. Chronic laminitis, excessive hoof length, flares, hoof cracks, and poor quality horn are all conditions that give the organism an opportunity to invade the hoof capsule and set up the infection.
The Horse S Sole Was Bulging Due To The Pressure Placed Upon It.
Puncture wound on or near the hoof; Sudden onset of lameness in one leg, usually a front leg though not always Horses with coffin bones that have be damaged from trauma can abscess if the injury leads to infection.
The Symptoms Present Can Include:
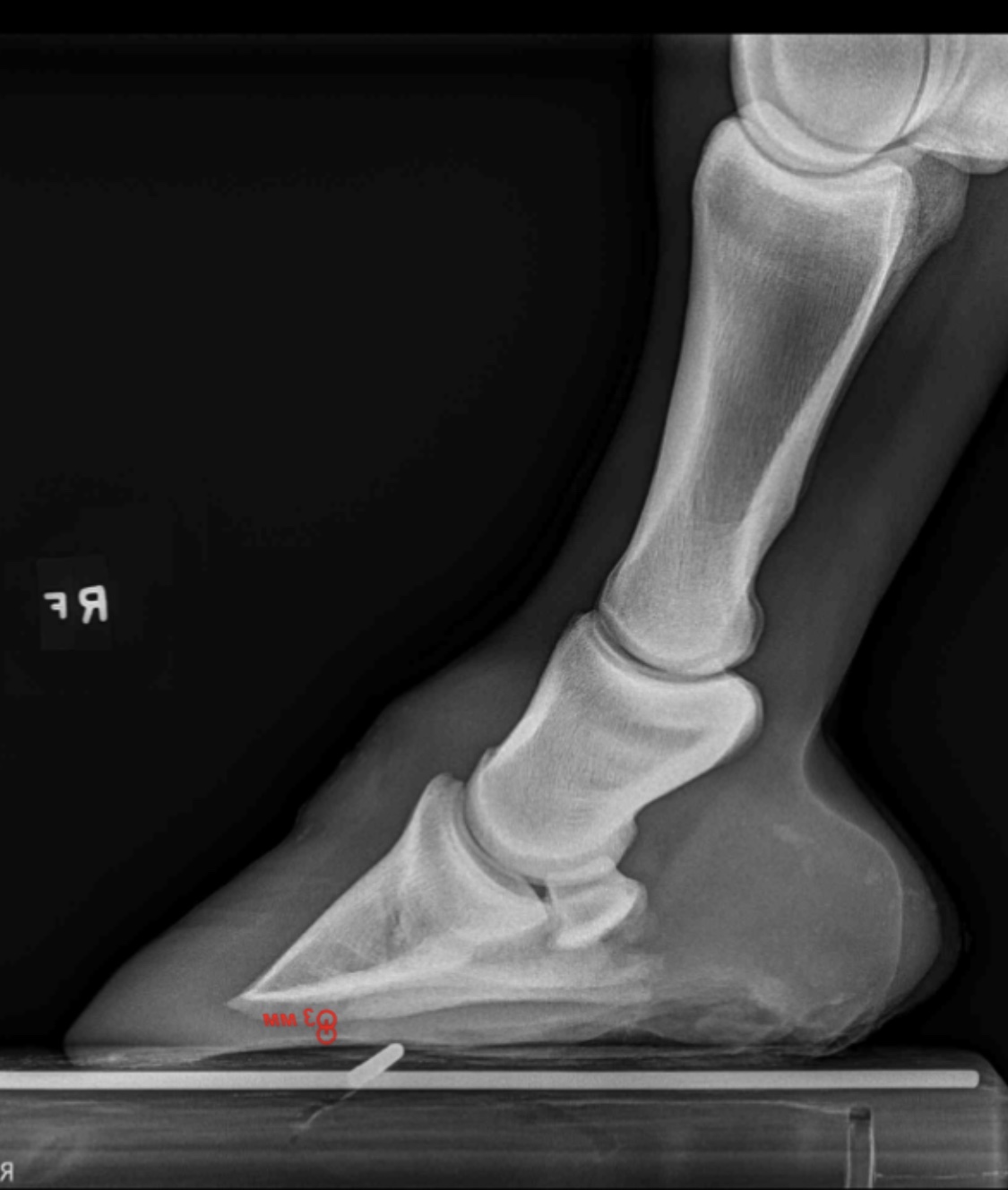
This can be seen as an increased black filling or lack of density to the peripheral edge of the coffin bone, which indicates bone loss. Inflammation near the pedal or coffin bone; Horses with coffin bones weakened by any disease are also predisposed to this internal abscessing.
Navicular Issues Involving The Navicular Bone.
Create a free account with thehorse.com to. Upon arrival the horse suffered from severe coffin bone rotation located in the left front hoof capsule. The pressure from the infection and swelling of the soft tissues/laminae makes this condition very painful.
The Fractures Need To Be Identified By.
Pathologic fractures due to infection have a grave prognosis. This process is extremely painful to the horse and results in. Fractures in the hoof or lower leg.
The Prognosis For Traumatic Fracture Has A Guarded Prognosis Due To Likelihood Of Arthritis.
Palmar digital neurectomy is a very viable alternative once the bone has had time to heal. This type of infection is usually associated with abnormalities or defects in the hoof. With the weight of the horse pushing the coffin bone toward the ground and the pull of the deep digital flexor tendon rotating the coffin bone, the coffin bone will sink and rotate within the hoof.
Hematoma Bruise Shin Bone Lump . Depending on the cause, it can take anywhere from 1 to 4 weeks for a hematoma to go away. Trauma is the most common cause of a hematoma. Hard Lump on Bone Under Bruise Types, Causes, Symptoms from skinanswer.com Trauma is the most common cause of a hematoma. If the blood vessels in the periosteum, the lining of the bone, are damaged, one can develop a periosteal hematoma, or a "bone bruise." these last. 37 lump on shin bone;
Quality Bone Mhw Iceborne . This really bugs me as dlss ran perfectly fine in regards to image quality and did not have said artifacting, which shows its an issue with the update to mhw iceborne. Its size evokes a certain primal quality. Monster Hunter World Boulder Bone Location from www.powerpyx.com Hey guys death here with another iceborne video and today im showing you where to speed farm thick bone, frozen bone and dragon bone artifacts so if you enjo. Delete nativepc\assets\gm000\gm000_512,513, 522,523, 532,533, 542,543, 552,553, 582,583 It is the central ingredient in a bunch of crafting recipes, which means you'll have to collect more than a few of them if you want to.
Bone Tomahawk Pelicula Completa Español Latino Gratis . Ver pelicula paterson en español gratis 2016 película ~ ver pelicula paterson en español gratis 2016 admin 20170528t0241000700 50 stars based on 35 reviews paterson 2016 película completa ver y descargar norma avchd 1080p dvd importancia 501 mb duración 1h 46 min descargas 845 ve 6.8 por 1193 usuarios géneros: Bone Tomahawk Ofertaza a 6.99 euros ¡peliculón! from www.mubis.es Ver bad ronald [1974] película completa en espanol latino repelis gratis, ver bad ronald 1974 película completa en español, bad ronald 1974 película completa español latino bad ronald (1974) título original : Bone tomahawk online 2015 en español, subtitulado ver bone tomahawk la llegada de un forastero a bright hope despierta las sospechas del sheriff, que detiene al desconocido después de una disputa una bella mujer, cuyo marido está lesionado, cuida del preso, pero un. 6.8 por 1136 usuarios géneros:
Comments
Post a Comment